안녕하세요 니~킥입니다.

어르신들 질병중에 가장 무서운 질병이 치매가 아닐까 싶습니다.
저도 곧 어른이 될 것이고 우리 남편과 아이에게 제일 보이고 싶지 않은 병 치매..
하지만,, 치매 예측하는 방법이 있다고 하니 왜지 알아두고 싶습니다.
그럼 어르신 치매 예측하는 방법에 대해 알아보겠습니다.

어르신 치매 예측하는 방법
치매중 알츠하이머 치매는 60%이며, 뇌 모세혈관이 막히는 혈관성치매는 25%라고 합니다. 여기서 알츠하이머 치매 원인은 1%가 유전이며 99%는 환경 즉, 생활습관에서 온다고 합니다.
1. 노년층의 걸음 걸이
걸음을 걸을 때 보폭의 크기가 줄었다, 컸다 하는 식으로 변동이 잦다거나, 걸음을 내딛는 시간차가달라지는 등의 변동성이 클수록 뇌의 인지 기능이 떨어진다고 합니다.
캐나다 로슨헬스리서치연구소와 웨스턴대학교 연구진은 임상시험에 등록된 노인 참가자 200명을 대상으로 보행패턴과 뇌 인지 기능을 평가한 결과, 걸음걸이가 특정적으로 달라지는 패턴에 따라 알츠하이머병을 식별할 수 있었다고 미국 알츠하이머 재단 학술지 '알츠하이머와 치매'에 발표한 적이 있었다고 합니다.
분석 결과, 네 가지 패턴 중 보행 변동성(걸음 마다 거리나 타이밍이 달라지는 것)이 높으면 인지 수행능력이 낮았다고 합니다.
연구진은 주관적 인지장애, 파킨슨병, 경도 인지장애, 알츠하이머병, 루이소체치매, 전두측두엽치매 등 인지관련 영역 전반에 걸쳐 보행 장애를 비교해 리듬, 속도, 변동성, 자세 제어 등 총 네 가지 보행패턴을 확인했다고 합니다.
즉, 걸을 때 보폭의 크기가 다르거나 시간차가 달라지는 등 변동성이 클수록 뇌의 인지 기능이 떨어졌다며, 연구진은 알츠하이머병을 70% 정확도로 식별해 낼 수 있다고 합니다.
여기서 알츠하이머병은 치매를 일으키는 가장 흔한 퇴행성 뇌질환으로 서서히 발병하여 기억력을 포함한 인지기능의 악화가 점진적으로 진행되는 병이라고 합니다.
연구진은 이번 연구 결과가 '보행성 변동성이 인지 장애 및 운동 조절과 관련한 뇌의 영역에서 일어나는 과정을 보여주는 중요한 지표임을 보여주는 강력한 증거'라고 설명했다고 합니다.
그러면서 '지금까지 기억력저하나 실행기능장애와 같은 인지 문제가 치매를 예측하는 변수였지만, 이제 걷는 방식을 분석하여 다양한 유형의 신경퇴행성질환을 진단할 수 있다는 점이 밝혀졌다'며 '심전도로 심장 박동을 측정하여 부정맥을 진단하는 거처럼 환자들의 보행 변동성을 측정해 인지 장애를 진단할 수 있을 것'이라고 덧붙였다고 합니다.
이렇게 어르신들 걸음 걸이로 치매 가능성을 유측할 수 있다니 이젠 좀 자세히 걸음걸이를 관찰하게 될 것 같습니다.
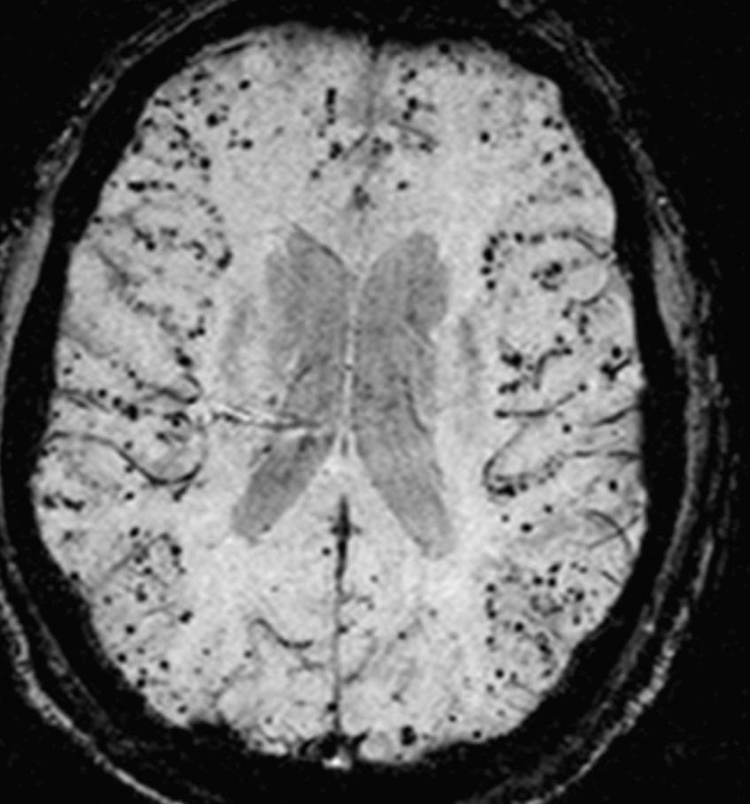
2. 베타 아밀로이드 단백질
임현국 여의도성모병원과 강동우 서울성모벼원 정신건강의학과 교수팀은 2010~2016년까지 가톨릭중앙의료원 산하 병원의 치매 관련 뇌 영상 데치터베이스에 저장된 영상을 분석한 결과 '베타 아밀로이드 단백질'이 뇌에 축적하면 치매 발병 가능성이 커졌다고 밝혔습니다.
연구진에 따르면 베타 아밀로이드 단백질은 알츠하이머 치매의 주된 원인 물질로 인지기능 저하가 나타나기 10~15년 전부터 쌓이게 된다고 합니다.
연구진은 뇌 영역 촬영 영상을 비교해보니 특정 부위의 뇌 신경 활성도가 떨어졌고, 인지장애 발생 예측률이 90% 이상인 것으로 나타났다고 합니다.
임현국 교수는 '생활하는 데 불편함을 느끼지 못하는 노인도 치매가 진행되고 있을 수 있다'며 '베타 아밀로이드 단백질 축적 여부를 관찰하면 본격적인 치매 증상이 나타나기 전에 치매 발병 가능성을 예측해 예방적 조치를 할 수 있을 것으로 기대한다'고 발혔습니다.
3. 술 많이 마시고 과일 덜 먹는 75세 이상 노부부
김해시에서 공공 통계자료오 자체 치매 조사 자료를 토대로 가구별, 지역별 치매 위험을 예측하는 인공지능 모델이 개발되었는데 정확도가 무려 97%에 달했다고 합니다.
예측 결과에 따르면 술을 많이 마시고 과일을 덜 먹는 75세 이상 노부부가 치매 위험도가 84%로 가장 높은 수치로 나타났고 두번째는 78%로 여러 가족과 함께 살면서도 혼자 보내는 시간이 많은 80세 이상 노인에게 나타났다고 합니다.
또, 생활비를 적게 쓰는 80세 이상 홀몸 노인, 식생활을 잘 챙기는 75세 이상 노부부는 치매 중위험 가구로 예측되었다고 합니다.
이 결과에 따르면 지금이라도 당장 술을 끊어야 할 것 같습니다.
과일도 요즘은 너무 비싸져서 자식들한테 양보하고 있었는데,,
자식을 위해 과일은 제가 먹어야할 것 같습니다.
4. 수면부족
하룻밤을 설치고 나면 다크서클이 생깁니다. 눈 아래 얇은 피부속 정맥혈관들이 일시적으로 확장되면서 눈 밑이 검게 보입니다.
이것은 면역의 한 종류인 염증반은 때문이라고 합니다.
다크서클은 일시적이고 금방 사라지지만, 진짜 문제는 뇌라고 합니다.
수면부족이 염증반응을 일으키고 이게 치매물질을 만든다고 합니다.
2019년 저명학술지 '사이언스'에 의하면 잠을 제대로 못자면 치매물질이 급속도로 생겨 퍼진다고 합니다.
연구진이 잠 못잔 쥐 뇌세포를 조사해 보니 정상수면 쥐보다 치매물질(타우)농도가 2배 높아져 있었다고 합니다. 특히 단기기억 부위인 해마가 수면부족에 직격탄을 맞았으며 해마에서 시작된 치매물질은 쓰나미처럼 전체 뇌로 퍼져나갔다고 합니다.
여기서 치매물질인 타우와 아밀로이드는 치매의 주범인데, 둘 다 정상 뇌세포에서 생산되지만 여러 이유로 변형·축적된다고 합니다. 이렇게 축적되면 뇌세포(뉴런) 사이의 신호 전달을 막고 결국 뇌세포를 죽인다고 합니다. 이것이 바로 알츠하이머 치매라고 합니다.
잠이 보약이라는 말이 여기서 나오나 봅니다.
잠이 부족하면 모든 건강을 헤치는 것 같습니다.
5. 9시간 이상 수면
수면 부족이 분명 치매 위험이 있다고 했는데,, 이젠 9시간 이상을 수면해도 치매 위험이 있다고 합니다.
어쩌라는 건지..
미국 보스턴대학 신경의학 연구팀이 학술지 '신경학'에 발표한 내용에 따르면 9시간 이상 자는 사람이 그 이하로 자는 사람보다 알츠하이머와 같은 치매에 걸릴 위험성이 높았다고 합니다.
연구팀은 프래밍험 심장 연구에 등록된 성인들의 수면 패턴을 조사하고 이것이 후일 알츠하이머 발병과 관계가 있는지 10년 동안 추적 분석했다고 합니다.
그 결과 9시간 이상 자는 사람들은 그렇지 않은 사람에 비해 10년 내 알츠하이머가 발병할 확률이 2배나 높았다고 합니다.
더불어 교육 수준도 치매 발생과 상관관계가 있었다고 합니다.
고등학교 교육을 받지 못하고 9시간 이상 자는 사람들은 그보다 덜 자는 사람에 비해 치매에 걸릴 위험이 6배나 높았다고 합니다.
이런 결과는 9시간 이상 자더라도 고등교육을 받았으면 치매에 걸릴 위험이 낮을 수도 있음을 의미한다고 합니다.
ㅎㅎ
그럼 공부하느라 잠을 많이 잔다면 괜찮지만,, 그냥 생각없이 잠만 잔다면 치매위험이 높다는 건가요?
참 묘한 연구 결과네요
늙어 죽도록 공부해야겠어요
아이들을 위해 또, 울 신랑을 위해 ㅋ
6. 전혀 꿈을 꾸지 않는 경우
마지막으로 사람들의 꿈을 꾸고 있는 모습을 통해서도 치매를 예측할 수 있다고 합니다.
보통 정상적인 경우에는 수면의 여러가지 단계에 따라 잠들고 나서 얼마있지 않아 꾸면 50% 기억을 하고 새벽에 꾸는 꿈은 90% 기억을 한다고 합니다.
꿈이 기억이 날듯 말듯 한 상태가 뇌가 건강하다는 것이고 꿈을 전혀 꾸지 않는 경우 즉, 꿈을 꿨지만 아예 꿈을 기억 할 수 없는 겅우는 기억력 저하를 의심해볼 수 있다고 합니다.
실제로 꿈을 꾸었지만, 꿈을 기억하지 못하고 정도가 심해진다면 경도 인지장애, 기억력장애가 있을 수도 있으며 노화가 진행될 수록 치매 전조증상을 띄게 될 수 있다고 합니다.
엇? 울 신랑은 '난 꿈같은 건 안꿔!'라고 했는데.. ㅠㅠ
그럼 나보다 울 신랑이 더 치매확률이 있는건가? ㄷㄷㄷ
오늘 알아본 '어르신 치매 예측하는 방법'은 정말 흥미로운것 같습니다. ^^
그럼 여기까지 입니다.
감사합니다.
'건강꿀팁' 카테고리의 다른 글
| 혈액순환에 좋은 음식 (0) | 2021.02.22 |
|---|---|
| 딸기 곰팡이? 복통에 설사 (0) | 2021.02.20 |
| 라면 끓여먹을 때 나트륨 줄이는 방법 (0) | 2021.02.14 |
| 무거운 이불이 숙면에 좋다고?! (1) | 2021.02.06 |
| 근육통으로 알아보는 건강 신호(그 외 섬유근육통 알아보기) (0) | 2021.01.27 |
댓글