안녕하세요 니~킥입니다.

오늘은 개회충증 증상 및 간농양과 합병증 사례에 대해 소개해 드리겠습니다.
✅ 인기글
쌈 채소 종류와 효능을 알아보며 맛있는 고기 쌈 하세요^^
건강진단결과서(보건증)발급 인터넷 혹은 모바일 발급 방
성격유형 테스트(MBTI·애니어그램 검사·D.I.S.C 검사·OCEAN 테스트)
만0세~2세 영아관찰척도 (어린이집 영아 관찰 및 평가)
먹태와 황태 차이? (명태&황태&먹태) 그리고, 황태 효능
적은 월급 부담 줄여주는 두루누리 사회보험!(보험료 80% 지원)
개회충증 증상 및 간농양과 합병증 사례

원인 모를 급성 간농양(간에 고름이 참)과 간부전으로 간 이식까지 고려됐던 50대 여성의 간에서 개회충이 발견돼 극적으로 치료받은 드문 사례가 국제학계에 보고됐다고 합니다.
가톨릭대 서울성모병원 소하기내과 성필수 교수와 조문영 임상강사, 이성학 병리과 교수 연구팀은 국제 학술지 '위장병학(Gastroenterology)' 최신호에 이 같은 증례 관련 연구논문을 발표했다고 10월 16일 밝혔습니다.
논문에 따르면, 평소 기저질환이 없던 이 여성은 올해 초 갑자기 39도 고열에 시달리고 오른쪽 배에 통증이 계속돼 병원을 찾았다고 합니다.
이 여성은 백혈구, 호산구가 급격히 증가하고 심각한 간농양이 확인돼 입원했다고 합니다.
간농양은 면역기능이 떨어졌거나 세균이 간으로 침투해 발생하며 간에 종괴 같은 고름이 생기는 질환이라고 합니다.

위생 수준이 높아지면서 최근에는기생충 감염에 의한 간농양이 드물지만, 익히지 않은 생고기나 생간, 오래된 흙이 묻은 야채를 섭취할 경우 간이나 폐, 눈, 뇌에 염증반응을 일으켜 심각한 결과를 초래할 수 있다고 합니다.
일반적인 치료에 반응이 없던 이 환자는 급격하게 간 기능이 손상되는 간부전으로 악화했고, 간이식 수술까지 논의돼 해당 병원으로 전원 됐다고 합니다.
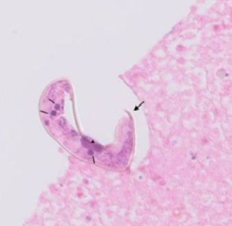
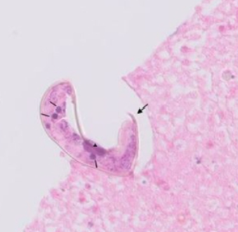
연구팀이 시행한 간 조직 검사에서 개회충 유충을 발견했고 그로 인한 간농양 및 간동맥 가성동맥류 출혈로 진단됐다고 합니다. 개회충 감염을 치료하는 항원충제(구충제) 복용과 염증반응을 개선시키기 위한 스테로이드 치료가 병행됐다고 합니다.
급격한 간부전 악화와 출혈로 간이식까지 논의하던 환자는 약물 치료와 보존적 시술만으로 호전돼 퇴원 했다고 합니다.
개회충증으로 인한 간농양과 합병증 사례 보고가 과거에도 있었지만, 이번처럼 분명한 개회충을 찾아내고, 심각한 수준의 염증과 출혈을 극적으로 호전시킨 증례는 전 세계적으로 매우 드물다고 합니다.
이 환자는 현재까지 큰 후유증 없이 일상생활을 하며 건강히 지내고 있다고 병원 측은 설명했다고 합니다.
성 교수는 "우리나라 사람을 대상으로 기생충 감염 및 잠복을 확인하기 위해 피 검사(항체검사)를 시행한 결과, 개회충 감염 표지자가 50%까지 발견됐다는 연구결과도 있다"라며 "해외 여행력이 있거나 생식을 하는 경우 발열, 복통, 간기능 이상을 보인다면 개회충 등 기생충 감염을 고려해 적그적인 검사와 치료를 시행할 필요가 있다"라고 조언했다고 합니다.
개
개의 회충(개회충)이란?

개회충은 말 그대로 개의 회충입니다. 사람에게 사람회충이, 고양이에게 고양이회충이 있는 것처럼, 개회충은 개만을 종숙주로 하는 기생충이라고 합니다. 생활사는 사람회충과 비슷해, 개의 창자에 있는 개회충이 알을 낳으면 그 알은 개가 대변을 볼 때 밖으로 배출되며, 흙속에서 3~4주가량 숙성된 알을 다른 개가 먹으면 그 개에서 어른으로 자란다고 합니다.
자료 = 리얼푸드, 네이버지식백과
그럼 여기까지 개회충증 증상 및 간농양과 합병증 사례에 대해 알아보았습니다.
감사합니다.
'반려동물꿀팁' 카테고리의 다른 글
| 반려동물 진료비 부가세 면제 시행 확대 (0) | 2023.10.20 |
|---|---|
| 반려동물 털알레르기 증상과 완화법 (0) | 2023.10.19 |
| 유기·유실 동물 입양비 최대 15만 원 지원! (0) | 2023.10.13 |
| 김포공항 애견센터 '독독' (0) | 2023.10.12 |
| 강아지에게 위험한 명절 음식 vs 좋은 음식 (1) | 2023.09.27 |
댓글